歯のガタつき(叢生)を整えた矯正治療|武蔵小杉の歯医者「中川歯科クリニック」の症例

武蔵小杉の歯医者「中川歯科クリニック」

症例

歯のガタつき(叢生)を整えた矯正治療

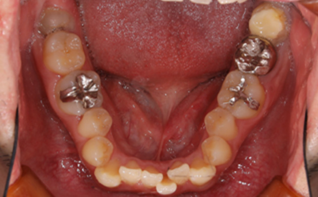
治療前

治療前

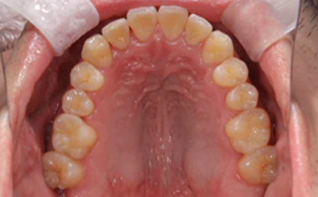
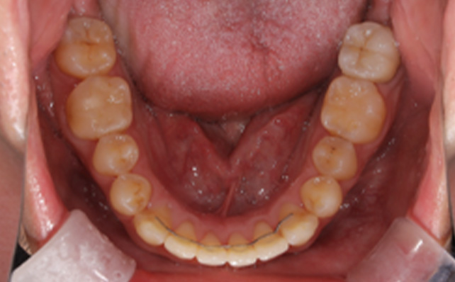
治療後

治療後

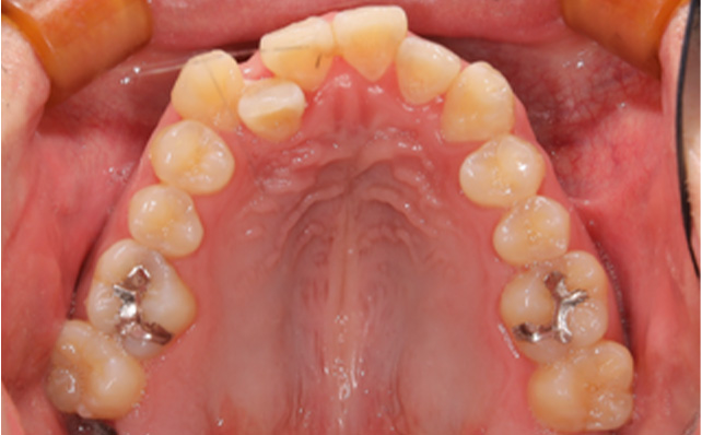
治療前

治療後

主訴 ガタガタな歯並びを治したい
虫歯になりやすい
治療内容 ラビアルマルチブラケット装置を用いた矯正治療
抜歯なし
患者さまの年齢 30代後半
治療期間 2年
治療費 矯正治療(表側矯正)99万円(税込)
補綴治療45万円(税込)
治療で得られるメリット ・叢生が治ると日々のメンテナンス(ブラッシング)がしやすくなるため、汚れがたまりにくくなります。
・そのため虫歯や歯周病になりにくく、将来的に自分の歯を健康な状態で保ちやすいです。
治療する際に起こるリスク・副作用 ・矯正治療をすると治療期間が長くなります。
・治療中は固いものが食べづらいです。
・治療後多少の違和感がでることがあります。

武蔵小杉の歯医者「中川歯科クリニック」

所在地
〒211-0011
神奈川県川崎市中原区下沼部1747-5 SGビル1F
TEL:044-411-7573
営業時間

月・金8:30~13:00/14:00~18:30

火・水8:30~13:00/14:00~18:00

8:30~13:00/14:00~16:30

※受付時間は、診療終了の30分前

休診日木曜・日曜・祝日